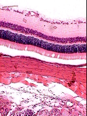
Organisation de la rétine.
La rétine tapissant le fond de l'oeil, est le lieu de traduction du message lumineux venant de l'extérieur en signaux nerveux envoyés au cerveau.
Observer la coupe au microscope, retrouver les différentes couches à l'aide du schéma.
![]() |
cellules ganglionnaire cellules bipolaires photorécepteurs choroide avec cellules pigmentaire? sclérotique
|
| préparation microscopique scannée | deux agrandissements : haut, bas |
![]() |
cellules ganglionnaires
cellules bipolaires
photorécepteurs cellules pigmentaires |